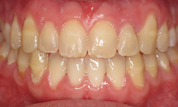
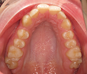
our Surgical Case Examples
Sample gallery of our typical Surgical Orthodontic case results.
*Actual patient results by Pawley Orthodontics

Before

After









Patient 1 – Before









Patient 1 – After









Patient 2 – Before









Patient 2 – After









Patient 4 – Before









Patient 4 – After









Patient 13d – Before









Patient 13d – After









Patient 14d – Before









