Our treatment result examples
Sample gallery of Pawley Orthodontics consistently precise occlusal (bite) results and highly aesthetic smiles and balanced profiles achieved.
*Actual patient results by Pawley Orthodontics

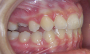
Patient 1 – Before

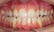
Patient 1 – After

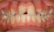
Patient 2 – Before

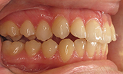
Patient 2 – After

Patient 3 – Before

Patient 3 – After

Patient 4 – Before

Patient 4 – After

Patient 5 – Before

Patient 5 – After

Patient 6 – Before

Patient 6 – After

Patient 7 – Before

Patient 7 – After

Patient 8 – Before

Patient 8 – After

Patient 9 – Before

Patient 9 – After

Patient 10 – Before

Patient 10 – After

Patient 11 – Before

Patient 11 – After

Patient 12 – Before

Patient 12 – After

Patient 13 – Before

Patient 13 – After

Patient 14 – Before

Patient 14 – After

Patient 15 – Before

Patient 15 – After

Patient 16 – Before

Patient 16 – After

Patient 17 – Before

Patient 17 – After

Patient 18 – Before

Patient 18 – After
our typical before & after results:

Patient 1a – Before

Patient 1a – After

Patient 2a – Before

Patient 2a – After

Patient 3a – Before

Patient 3a – After

Patient 5a – Before

Patient 5a – After

Patient 6a – Before

Patient 6a – After

Patient 7a – Before

Patient 7a – After

Patient 8a – Before

Patient 8a – After

Patient 11a – Before

Patient 11a – After

Patient 12a – Before

Patient 12a – After

Patient 13a – Before

Patient 13a – After

Patient 14a – Before

Patient 14a – After

Patient 15a – Before

Patient 15a – After

Patient 16a – Before

Patient 16a – After

Patient 17a – Before

Patient 17a – After

Patient 19a – Before

Patient 19a – After

Patient 21a – Before

Patient 21a – After

Patient 22a – Before

Patient 22a – After

Patient 23a – Before

Patient 23a – After

Patient 24a – Before

Patient 24a – After

Patient 25a – Before

Patient 25a – After

Patient 26a – Before

Patient 26a – After

Patient 27a – Before

Patient 27a – After
Note: No expanders whatsoever are used to achieve our exceptional results.

Patient 2b – Before

Patient 2b – After

Patient 3b – Before

Patient 3b – After

Patient 4b – Before

Patient 4b – After

Patient 5b – Before

Patient 5b – After

Patient 6b – Before

Patient 6b – After

Patient 11b – Before

Patient 11b – After

Patient 12b – Before

Patient 12b – After

Patient 15b – Before

Patient 15b – After

Patient 16b – Before

Patient 16b – After

Patient 19b – Before

Patient 19b – After

Patient 21b – Before

Patient 21b – After

Patient 22b – Before

Patient 22b – After

Patient 24b – Before

Patient 24b – After

Patient 25b – Before

Patient 25b – After

Patient 26b – Before

Patient 26b – After

Patient 27b – Before

Patient 27b – After
Note: No expanders whatsoever are used to achieve our exceptional results.

Patient 1b1 – Before

Patient 1b1 – After

Patient 2b1 – Before

Patient 2b1 – After

Patient 3b1 – Before

Patient 3b1 – After

Patient 4b1 – Before

Patient 4b1 – After

Patient 5b1 – Before

Patient 5b1 – After

Patient 6b1 – Before

Patient 6b1 – After

Patient 8b1 – Before

Patient 8b1 – After

Patient 9b1 – Before

Patient 9b1 – After

Patient 10b1 – Before

Patient 10b1 – After

Patient 11b1 – Before

Patient 11b1 – After

Patient 12b1 – Before

Patient 12b1 – After

Patient 13b1 – Before

Patient 13b1 – After
Note: All of our results below were achieved without jaw surgery.



Patient 1c – Before



Patient 1c – After



Patient 2c – Before



Patient 2c – After



Patient 3c – Before



Patient 3c – After



Patient 4c – Before



Patient 4c – After



Patient 5c – Before



Patient 5c – After



Patient 7c – Before



Patient 7c – After



Patient 8c – Before



Patient 8c – After



Patient 9c – Before



Patient 9c – After



Patient 10c – Before



Patient 10c – After



Patient 11c – Before



Patient 11c – After



Patient 12c – Before



Patient 12c – After



Patient 13c – Before



Patient 13c – After



Patient 14c – Before



Patient 14c – After



Patient 15c – Before



Patient 15c – After



Patient 16c – Before



Patient 16c – After



Patient 17c – Before



Patient 17c – After



Patient 18c – Before



Patient 18c – After



Patient 19c – Before



Patient 19c – After



Patient 20c – Before



Patient 20c – After



Patient 21c – Before



Patient 21c – After



Patient 27c – Before



Patient 27c – After



Patient 28c – Before



Patient 28c – After



Patient 29c – Before



Patient 29c – After



Patient 30c – Before



Patient 30c – After



Patient 32c – Before



Patient 32c – After



Patient 33c – Before



Patient 33c – After



Patient 34c – Before



Patient 34c – After



Patient 36c – Before



Patient 36c – After



Patient 39c – Before



Patient 39c – After



Patient 40c – Before



Patient 40c – After



Patient 41c – Before



Patient 41c – After



Patient 42c – Before



Patient 42c – After



Patient 43c – Before



Patient 43c – After



Patient 44c – Before



Patient 44c – After



Patient 45c – Before



Patient 45c – After



Patient 46c – Before



Patient 46c – After



Patient 47c – Before



Patient 47c – After



Patient 48c – Before



